ホワイトスポットについて
「ホワイトスポット」とは、歯の表面にできる白い斑点のことです。
生まれつきのものや、虫歯の初期段階など歯の表面のエナメル質の変化によって生じ、見た目が気になる方が多い症状です。
特に前歯にできると、笑ったときに目立ってしまうことがあります。
ホワイトスポットの原因について
ホワイトスポットの原因は大きく分けて3つあります。
- 初期虫歯による、歯のカルシウムが溶け出す「脱灰」
- 矯正装置(ブラケット)装着中の清掃不良による「脱灰」
- 生まれつきのエナメル質形成不全
ICON(アイコン)治療とは
ICON(アイコン)は、歯を削らずに特殊な樹脂を歯に浸透させ、ホワイトスポットを目立たなくする最新の治療法です。
歯の表面を専用の薬剤で処理したあと、薬剤をしみ込ませることで白濁部分の透明度が改善し、自然な色調に近づきます。
ICON(アイコン)
治療の特徴について
当院では、歯を削らずにホワイトスポット(白い斑点)を改善する最新の「ICON(アイコン)治療」を導入しています。
麻酔を使わないため痛みが少なく、1回の治療で自然な色調に近づけることができます。
できるだけ歯を傷つけず、美しい見た目を取り戻したい方におすすめの治療法です。
当院のICON(アイコン)治療の
3つの特徴
- 削らない
- 痛みが少ない
- 1回の治療で効果が期待できる
ICON(アイコン)治療は
こんな人におすすめ
- 前歯の白い斑点が気になる方
- 矯正治療後の白濁が気になる方
- 歯を削らずに見た目を改善したい方
- ホワイトニングでは改善しなかった方
ICON(アイコン)治療が
適応できないケース
- 進行した虫歯がある場合
- 歯の欠損が大きい場合
- 歯の内部(象牙質)からの変色(インターナルブリーチが適用になる可能性が有ります)
- 被せ物や詰め物が必要なケース
ICON(アイコン)治療の
メリット・デメリット
について
ICON(アイコン)治療のメリット
- 審美性の改善:自然な歯の色に近づけます。
- 低侵襲:歯を削らないため、健康な歯を温存できます。
- 短期間で終了:通常1回の治療で改善することが多いです。
ICON(アイコン)治療の
デメリット
- 白濁の程度によっては完全に消えない場合があります。
- 保険適用外(自費診療)の治療になります。
- 経年的に色調変化が起こる場合があります。
- 穴の空いてしまっている虫歯や欠損部には適用できません。
当院のICON(アイコン)
治療の流れについて
-
診査・診断
最初に、ホワイトスポットの原因や範囲を詳しく確認します。歯の状態や色の変化の程度をチェックし、虫歯やエナメル質の異常など、白斑の原因を特定します。
これにより、最適な治療計画を立て、安全かつ効果的に改善できるようにします。
-
歯面処理
治療の前にラバーダムで歯ぐきをしっかり保護し、専用の薬剤でエナメル質の表面を丁寧に処理します。
この工程により、後に浸透させるアイコン樹脂が歯の内部まで均一に入りやすくなり、より自然で美しい仕上がりが期待できます。
-
薬剤の浸透
専用の薬剤で歯の表面を処理したあと、ICON(アイコン)樹脂を歯にゆっくりと浸透させます。
樹脂がエナメル質の細かな隙間まで行き渡ることで、白く濁っていた部分の透明度が高まり、自然な色調に近づきます。削ることなく見た目を改善できるのが特徴です。
-
光照射で硬化
薬剤を浸透させた後、専用の光を当てて樹脂を硬化させます。これにより、歯の白濁部分がしっかり安定し、自然な透明感を取り戻すことができます。

-
研磨・仕上げ
最後に、歯の表面を丁寧に研磨して仕上げます。この工程により、樹脂で処理した部分が周囲の歯の色になじみ、自然な見た目を取り戻すことができます。
治療全体で45〜60分ほどかかりますが、1回の来院で効果を実感できるのが特徴です。
よくあるご質問
Q.ホワイトスポットは
治した方が良いですか?
A.健康上すぐに問題はありませんが、審美性や虫歯リスクを考え、気になる場合は治療をおすすめします。
Q.ICON(アイコン)治療に
年齢制限はありますか?
A.特に年齢制限はありません。
永久歯、乳歯問わず治療は可能です。
Q.ICON(アイコン)治療は
妊娠中でもできますか?
A.ラバーダムをして薬剤から保護し、麻酔を使用しないので可能ですが、ホワイトニングとの併用を推奨していますので産後に行うことをおすすめいたします。
Q.ICON(アイコン)治療は
痛みを感じますか?
A.歯を削らないため、痛みはありません。
光をあてる際に熱を感じることがあります。
Q.ICON(アイコン)治療に
かかる期間はどのくらいですか?
A.多くの場合、1回(45〜60分程度)の来院で完了します。
Q.ICON(アイコン)治療終了後に
起きる可能性のある問題は
ありますか?
A.時間の経過で色調が変化したり、効果が薄れることがあります。定期的なチェックをおすすめします。
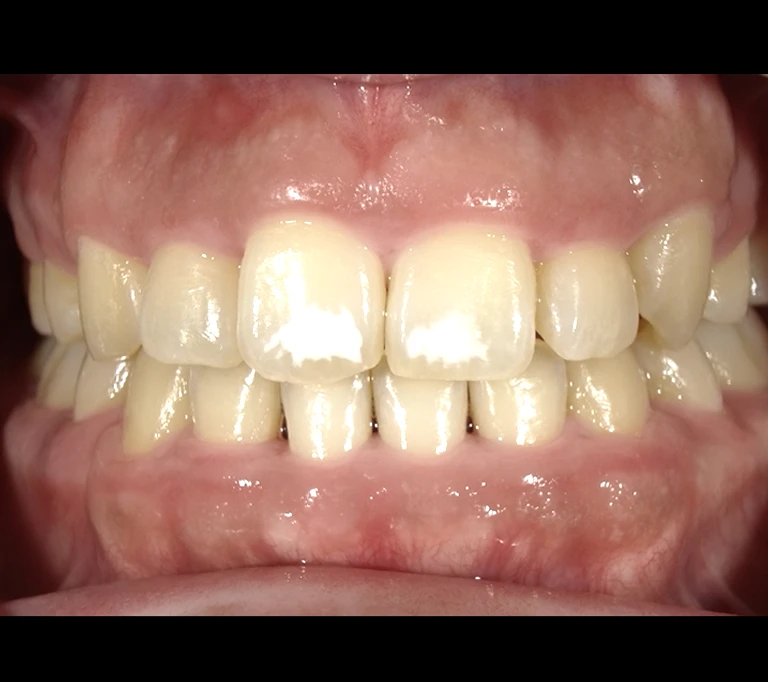
症例
case 1.
治療前

治療後

| 主訴 | 左上前歯の色が気になる |
|---|---|
| 治療期間 | 1回(45〜60分) |
| 治療費 | 33,000円(税込) |
| 治療内容 | 歯の表面を専用の薬剤で処理した後、特殊な樹脂を歯の内部に浸透させることで、光の透過性を改善し、ホワイトスポットを目立たなくします。 |
| 治療のリスク | ・ホワイトスポットの状態によっては、治療の適応にならない場合があります。 ・ホワイトスポットの深さや大きさによっては、治療後も薄く残る場合があります。 ・治療部と周囲の歯との色のなじみに個人差があり、必ずしも完全に均一になるとは限りません。 ・ICON治療は保険適用外の自費治療です。 ・歯に着色や歯垢歯石が付いている方はクリーニングを先にしてからの施術となります。 ・ホワイトニングをしてから施術することで効果を確実にすることができます。 |
case 2.
治療前
![]()
治療後
![]()
| 主訴 | 前歯の色が気になる |
|---|---|
| 治療期間 | 1回(60分) |
| 治療費 | 66,000円(税込) |
| 治療内容 | 歯の表面を専用の薬剤で処理した後、特殊な樹脂を歯の内部に浸透させることで、光の透過性を改善し、ホワイトスポットを目立たなくします。 |
| 治療のリスク | ・ホワイトスポットの状態によっては、治療の適応にならない場合があります。 ・ホワイトスポットの深さや大きさによっては、治療後も薄く残る場合があります。 ・治療部と周囲の歯との色のなじみに個人差があり、必ずしも完全に均一になるとは限りません。 ・ICON治療は保険適用外の自費治療です。 ・歯に着色や歯垢・歯石が付いている方はクリーニングを先にしてからの施術となります。 ・ホワイトニングをしてから施術することで効果を確実にすることができます。 |