ホワイトニングについて
ホワイトニングとは、加齢や遺伝、飲食や喫煙等の生活習慣などが原因で変色してしまった歯を、専用の薬剤を塗布することで白くする方法です。
詰め物が入っていたり、変色が強い場合など、適応外の場合もありますのでお気軽に
ご相談ください。
歯が黄色になってしまう理由
歯の黄ばみの原因は大きく分けて2つあります。
- 外因性の着色:
コーヒー・紅茶・ワイン・タバコなどによる表面のステイン。 - 内因性の変色:
加齢や神経を取った歯、薬剤の影響による歯の内部の変色。
歯科医院でのホワイトニングでは、歯の内部からの色素分解による漂白が可能なため、より確実な白さを実現できます。
当院のホワイトニングの
特徴について
当院では「安全・効果・持続力」にこだわったホワイトニングをご提供しています。お口の中の状態は患者さまそれぞれなので、一人ひとりの歯の状態やご希望に合わせ、最適な方法をご提案します。
事前に歯科医師・歯科衛生士が口腔内を診査し、虫歯や歯ぐきの炎症がないかを確認します。術前にエアフローによるパウダークリーニングや歯石除去を行うことで、薬剤の効果を最大限に引き出します。
また、歯科医師と歯科衛生士が管理する医療機関専用の薬剤を使用しているため、市販のホワイトニング剤や医療機関ではないホワイトニングサロンよりも、高い効果と安全性を実現しています。
ホワイトニングがおすすめの方
下記に該当する方はおすすめです。
- 結婚式や面接など、大切なイベントに向けて歯を白くしたい方
- 加齢や生活習慣(コーヒー・紅茶・ワイン・喫煙など)で歯の黄ばみが気になる方
- 自然で健康的な白さを長持ちさせたい方
- セルフホワイトニングでは満足できなかった方
当院で扱っている
ホワイトニングの種類
- ホームホワイトニング
(ご自宅で行う方法) - インターナルブリーチ
(神経を取った歯の変色に対応)
※当院では、効果が短期的で色戻りしやすいオフィスホワイトニングは行っておりません。
ホームホワイトニング
歯型を取って作製した専用のマウスピースに薬剤を入れ、毎日一定時間(1.5~2時間程度)装着して歯を徐々に白くしていく方法です。
ホームホワイトニングの治療の流れ
-
口腔内診査・クリーニング
(エアフロー・歯石除去)ホワイトニングの前に、お口全体の状態を確認し、虫歯や歯周病の有無をチェックします。
そのうえで、専用機器を用いたエアフローで歯の表面の着色や汚れを落とし、歯石がある場合は除去を行います。
歯の表面を清潔に整えることで、ホワイトニング効果がより高まり、白さを長持ちさせることにつながります。
-
マウスピースの型取り
歯の型取りを行います。患者さま一人ひとりの歯並びに合わせた専用のマウスピースを作製することで、薬剤がしっかりと歯に行き渡り、より効果的にホワイトニングを進めることができます。
型取りは短時間で終わり、痛みもほとんどありませんのでご安心ください。
-
ホワイトニングジェルと
マウスピースのお渡しご自宅では、ジェルをマウスピースに入れて装着することで歯を徐々に白くしていきます。安全性を確認した上で使用方法をご説明いたしますので、初めての方でも安心して取り組んでいただけます。

-
ご自宅で毎日一定時間装着
ご自宅では、歯科医院でお渡しした専用のマウスピースにホワイトニングジェルを入れ、毎日一定時間装着していただきます。通常2週間ほどで効果が実感できます。

-
定期的なチェックとクリーニング
ホワイトニング後の白さを長く維持するためには、歯科医院での定期的なチェックとプロによるクリーニングが大切です。着色や歯石の除去、口腔内の健康状態の確認を行うことで、白さだけでなくお口全体の健康も守ることができます。

こんな方におすすめ
- 忙しくて通院の時間が取りにくい方
- 自然な白さを長く維持したい方
- 歯に優しい方法でホワイトニングをしたい方
ホームホワイトニングの
メリット・デメリット
メリット
- 白さが長持ちしやすい
- 歯への負担が少ない
- 自分のペースで進められる
デメリット
- 効果が出るまでに時間がかかる
- 毎日の継続が必要
- 装着中は飲食制限がある
ホームホワイトニングの解説動画
料金案内はこちらから
インターナルブリーチ
黒く変色してしまった歯を
内側から明るくする治療
神経の治療をした歯が時間の経過とともに黒ずんでしまうことがあります。
インターナルブリーチ(歯の内側からのホワイトニング)は、そのような歯の中に専用の薬を入れて、内側から白くする治療です。
歯を削らずに、自然な白さを取り戻せることが特徴です。
インターナルブリーチの治療の流れ
-
再根管治療が必要な場合
根の治療の状態によっては事前に再根管治療を行います。
治療が不十分な場合や感染が再発している場合は、歯の健康を守るために再治療が必要となることがあります。
-
歯の変色に対する処置方法
変色している歯の内部、及び表面に専用の薬剤を塗布し作用させます(およそ45分)。

-
薬剤の交換と封鎖
白さを確認しながら薬剤を交換し、目標の白さになったら薬剤を除去して最終的に封鎖します。
※効果を得るためには2回以上の通院が必要なことがあります。
こんな方におすすめ
- 昔ぶつけた歯が変色してきた方
- 神経の治療をした歯が黒くなって気になる方
- 差し歯にせず、自分の歯のままで白くしたい方
- 1本だけ色が違って目立つ方
インターナルブリーチの
メリット・デメリット
メリット
- 歯をほとんど削らずに治療が可能
- 自分の歯の色調を活かした自然な仕上がり
- 比較的短期間で効果を実感できる
デメリット
- 効果には個人差があり理想の白さにならない場合がある
- 色の後戻りが起こることがある
- 歯の内部状態によっては再根管治療が必要となる場合がある
- 歯がもろくなっている場合、歯の破折リスクがある
よくあるご質問
Q.治療後は
どのくらい白くなるのでしょうか?
A.個人差はありますが、ほとんどの方がご自身で“白くなった”と実感されます。歯の色見本でいうと2〜3段階ほどですが、見た目には“ワントーン以上明るくなった”と感じる方が多いです。
Q.ホワイトニングの効果は
どのくらい持続しますか?
A.約1〜2年持続しますが、生活習慣により個人差があります。
Q.治療期間はどのくらいですか?
A.平均で2週間程度です。
Q.効果を持続させるために
できることはありますか?
A.定期的な歯科クリーニングとタッチアップ(再ホワイトニング)が効果的です。再ホワイトニングの際は、薬剤のみの購入も可能です。
Q.何回通院する必要がありますか?
A.基本的には2〜3回程度です。
Q.ホワイトニングサロンとの
違いはなんですか?
A.サロンで行われている「ホワイトニング」は、歯の表面の汚れを落としたり、コーティング剤で一時的に白く見せるものが中心です。
そのため、効果は数日〜数週間と短く、歯そのものの色を変えることはできません。
一方、歯科医院でのホワイトニングは医療機関専用の薬剤を用いて歯の内部に作用し、色素を分解します。
表面的に「白く見せる」だけでなく、歯本来の白さを引き出すため、自然で持続性のある効果が得られます。
Q.ホワイトニングをした後の
注意事項はありますか?
A.施術直後は着色しやすいため、カレー・コーヒー・赤ワインなどの色の濃い飲食物や喫煙は控えてください。
術後一時的に知覚過敏の症状が出ることがありますがすぐに治り、持続することはありません。
症例
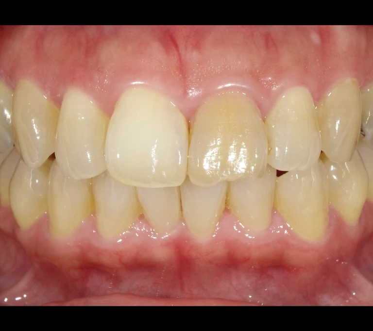
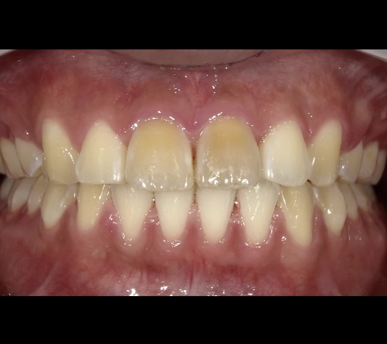
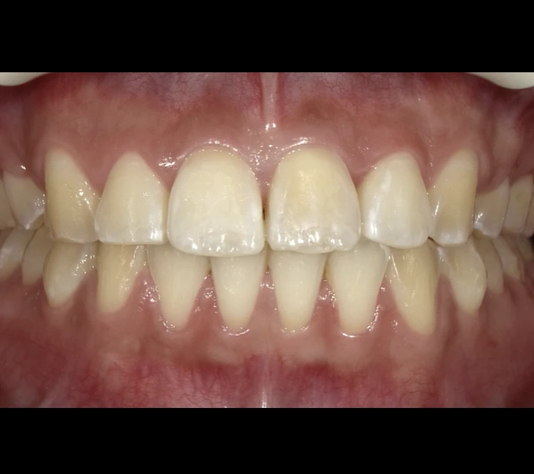
case 1.
治療前

治療後

| 主訴 | 左上前歯の色が気になる |
|---|---|
| 治療期間 | 2回(2週間) |
| 治療費 | 1本 33,000円(税込) |
| 治療内容 | 根の治療が適切に行われなかったため歯の内部から変色してしまった症例。 再根管治療(保険適用)を行ったのちに歯の内部及び表面に専用の薬剤を作用させます。 白さの改善が確認できたら薬剤を除去し、最終的にレジンなどで封鎖して終了します。本症例では2回の施術を行いました。 |
| 治療のリスク |
・漂白効果には個人差があり、希望する白さに到達しない場合があります。 ・時間の経過とともに色の後戻りが生じることがあり、その場合は再漂白が必要となる場合があります ・根管治療後の歯はもともと脆く、割れやすい状態であるため、治療中・治療後に歯に亀裂が入るリスクがあります。 ・薬剤の影響で施術中、まれに歯茎に刺激症状が出る場合があります。 ・内部の状態によっては、再根管治療が必要となる場合があります。 ・効果を得るために2回以上の施術が必要になることがあります。 ・内部漂白後も十分な色調改善が得られない場合は、セラミックなどの補綴治療を検討することがあります。 |
case 2.
治療前

治療後

| 主訴 | 前歯の色が気になる |
|---|---|
| 治療期間 | 2回(2週間) |
| 治療費 | 2本 66,000円(税込) |
| 治療内容 | 根の治療が適切に行われなかったため歯の内部から変色してしまった症例。歯の内部及び表面に専用の薬剤を作用せます。 色調の改善が確認できたら薬剤を除去し、コンポジットレジンで封鎖して終了します。 本症例では2回施術を行いました。 |
| 治療のリスク |
・漂白効果には個人差があり、希望する白さに到達しない場合があります。 ・時間の経過とともに色の後戻りが生じることがあり、その場合は再漂白が必要となる場合があります ・根管治療後の歯はもともと脆く、割れやすい状態であるため、治療中・治療後に歯に亀裂が入るリスクがあります。 ・薬剤の影響で施術中、まれに歯茎に刺激症状が出る場合があります。 ・内部の状態によっては、再根管治療が必要となる場合があります。 ・効果を得るために2回以上の施術が必要になることがあります。 ・内部漂白後も十分な色調改善が得られない場合は、セラミックなどの補綴治療を検討することがあります。 |