当院の根管治療

当院では「できる限り歯を抜かずに残す」ことを治療方針の中心に据えています。根管治療は歯の寿命を左右する大切な処置です。そのため、CT・マイクロスコープを用いた精密な診査診断、そしてラバーダムによる無菌的環境の確保を徹底しています。さらに、歯内療法専門医が在籍しているため、難症例にも対応可能です。
根管治療が必要な症状とは
次のような症状がある場合、根管治療が必要となることがあります。
- ズキズキとした歯の痛み
- 噛んだときの違和感や痛み
- 歯ぐきの腫れや膿が出てくる
- 冷たいものや熱いもので長く続くしみ
こうした症状は歯の神経に炎症や感染が広がっているサインです。放置すると症状が悪化し、抜歯の可能性も高まります。
快適で安全な
治療設備について
-
マイクロスコープを用いた根管治療
歯科用の顕微鏡で、最大25倍に拡大して治療部位を見ることができます。細かいひびや複雑な根管を確認でき、歯を削る量も最小限に抑えられます。
-
ラバーダムを用いた根管治療
治療する歯をゴムのシートで隔離する器具です。唾液や細菌の侵入を防ぎ、無菌的に治療を行うために欠かせません。
根管治療について

根管治療の処置中に起こる痛みと
痛みを感じなくする処置・配慮
十分な麻酔を行うため、処置中に強い痛みを感じることはほとんどありません。痛みに敏感な方や不安の強い方にも配慮し、リラックスして受けられるよう心がけています。
根管治療のおおよその治療期間と
定期的に通院する必要性
根管治療は歯の状態により異なりますが、2~5回程度の通院が必要です。治療を途中で中断すると再感染のリスクが高まりますので、最後まで継続していただくことが大切です。
歯科医院によって異なる
根管治療の診断と治療内容
根管治療は歯科医師の技術や設備によって大きく結果が異なります。マイクロスコープやCT、ラバーダムを導入している歯科医院での治療が成功率を高めます。当院ではすべての環境を整えています。
最新医療機器・設備を使用した
精密検査の内容・重要性
通常のレントゲンでは分からない感染の範囲や根の形態を、CTで三次元的に確認します。さらにマイクロスコープを用いることで、肉眼では見えない微細な部分も把握でき、診断と治療の精度が大きく向上します。
根管治療の治療方法と
原因について

歯が痛くなる原因
むし歯や歯周病が進行して歯の神経(歯髄)に細菌が侵入すると、炎症や膿が発生して強い痛みを引き起こします。外傷や歯ぎしりによっても神経がダメージを受け、痛みが生じることがあります。
きちんと根管治療をしなかった場合
感染が進むと、歯ぐきが腫れ、歯の周りの骨を溶かしながら膿がたまり、最終的には抜歯が必要になります。また、細菌が血流に乗ることで全身への悪影響を及ぼすこともあります。歯を守るためには早期の治療が重要です。
根管治療の具体的な治療方法
根管治療とは、感染した歯の神経を取り除き、根の中を洗浄・消毒して薬で密封する処置です。歯の内部を清潔に保つことで再感染を防ぎ、自分の歯を残すための最後の治療法となります。
歯の神経が残っている場合の
治療方法
むし歯や感染が進行して神経を残せない場合に行う治療が「抜髄治療」です。感染した神経を取り除き、根の中を洗浄・消毒して薬で密封することで、歯を残すことができます。
当院ではラバーダムやマイクロスコープを活用し、再感染を防ぐ精密な治療を行っています。治療後は歯がもろくなるため、被せ物で補強することが重要です。
ラバーダムを用いた根管治療
ラバーダムを使用することで、感染防止・治療精度の向上・薬剤からの粘膜保護・安全性の向上など多くのメリットがあります。当院ではほぼすべてのケースで使用しています。
歯を残すにあたり根管治療の重要性
歯を失うと噛み合わせや見た目、将来的な口腔環境に大きな影響を与えます。根管治療を正確に行うことで歯を残せる可能性が高まります。
抜歯しなければならないケース
歯の根が割れている場合や、歯の周囲の骨が著しく溶けてしまっている場合は残念ながら抜歯となることもあります。その際もインプラントやブリッジ、入れ歯などの選択肢を丁寧にご提案します。
歯の神経がない状態でも
痛みを感じる理由
神経を取っても、根の先に炎症が残ると痛みが出ることがあります。その場合も再根管治療や外科的歯内療法で対応可能です。
根管治療のよくあるご質問
Q.根管治療をしても
再発することはありますか?
その場合どのような対応に
なりますか?
A.根管治療後でも再発することはあります。その場合は再根管治療や外科的歯内療法(歯根端切除術、意図的再植術)を行い、歯を残す可能性を高めます。
Q.根管治療後に
歯を長持ちさせるために
気をつけることはありますか?
A.根管治療後の歯はもろくなるため、適切な被せ物で補強することが大切です。さらに、定期検診や日々の歯磨き、歯ぎしり対策(マウスピースなど)で長持ちさせることができます。
Q.根管治療後に被せ物や詰め物は
どのように選ぶと良いですか?
A.根管治療をした歯は神経を失っているため、もろく割れやすくなります。そのため、強度と適合性の高い被せ物で補強することが大切です。
当院では、機能性と見た目の両立を考え、患者さんに合わせて素材をご提案します。
- セラミック:天然歯に近い自然な色合いと透明感があり、前歯など審美性を重視する部位に適しています。プラークもつきにくく、むし歯の再発リスクを減らします。
- ジルコニア:非常に高い強度を持ち、奥歯など強い力がかかる部分にも適応可能です。金属を使わないため金属アレルギーの心配もなく、見た目も白く自然です。
これらの素材を選ぶことで、歯を長持ちさせ、見た目にも美しい仕上がりを実現できます。
Q.マイクロスコープのメリットと
必要性はなんですか?
A.当院ではマイクロスコープを積極的に使用し、歯を残す可能性を最大限に高めています。
- 肉眼では見えない感染部位を確認できる
- 削る量を最小限に抑えられる
- 治療の成功率を高め、再発を防ぎやすい
症例
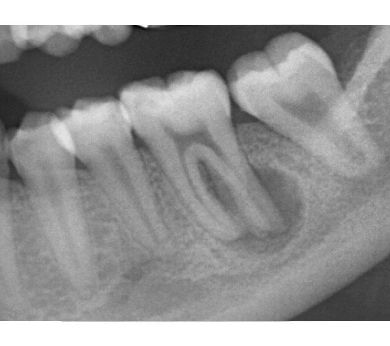
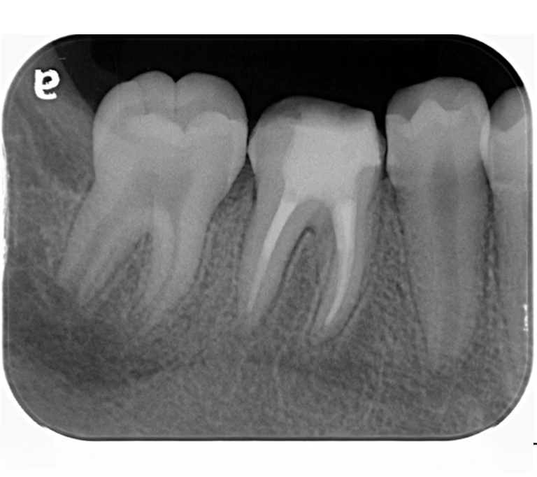
case 1.
治療前

治療後

| 主訴 | 右下歯ぐきの腫れ。 他院で抜歯と言われ、セカンドオピニオン希望でご来院。 |
|---|---|
| 治療期間 | 1か月 |
| 治療費 | 約2万円 |
| 治療内容 | ラバーダム、マイクロスコープ下にて根管治療を施術。歯肉腫脹と疼痛は消失し補綴物を作製し治療終了。治療後のレントゲン写真は2年後のものです。 |
| 治療のリスク | マイクロスコープやCTを使用し、可能な限り精密な根管治療を行っていますが、歯根の形態や病変の大きさ、過去の治療履歴などにより、治癒が得られない場合があります。 また、治療後に再感染や歯根破折が生じることもあり、その場合は再治療や抜歯が必要となることがあります。 治療結果には個人差があり、すべての症例で同様の経過を保証するものではありません。 |
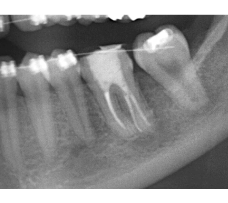
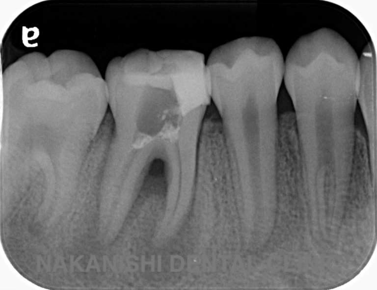
case 2.
治療前

治療後

| 主訴 | 左下歯ぐきの腫れ。 |
|---|---|
| 治療期間 | 約2か月 |
| 治療費 | 約1万5千円 |
| 治療内容 | ラバーダム、マイクロスコープ下にて根管治療を施術。 歯ぐきの腫れ、痛みや違和感が消失したため根管充填、支台築造(土台の製作)を行った。治療後の写真は矯正治療を行うことになったため仮歯を装着した状態。 |
| 治療のリスク | マイクロスコープやCTを使用し、可能な限り精密な根管治療を行っていますが、歯根の形態や病変の大きさ、過去の治療履歴などにより、治癒が得られない場合があります。また、治療後に再感染や歯根破折が生じることもあり、その場合は再治療や抜歯が必要となることがあります。 治療結果には個人差があり、すべての症例で同様の経過を保証するものではありません。 |
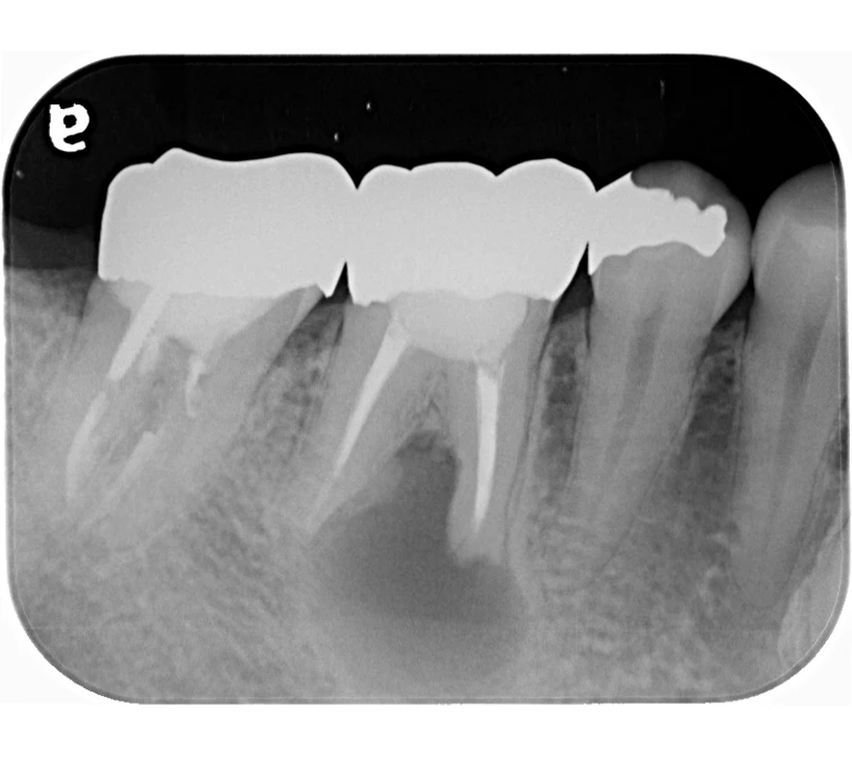
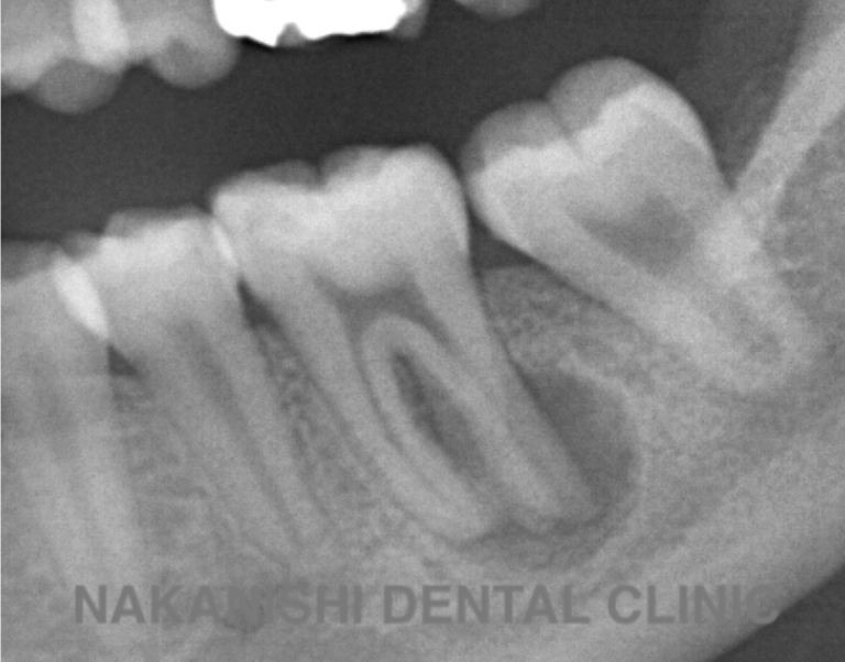
case 3.
治療前

治療後

| 主訴 | 左下奥歯が痛い、歯ぐきの腫れ。 前医で抜歯を提案されたがセカンドオピニオン希望でご来院。 |
|---|---|
| 治療期間 | 約半年(6か月) |
| 治療費 | 約5万円 |
| 治療内容 | 前医ではラバーダム不使用であったため、ラバーダム、マイクロスコープ下にて根管治療を施術。 痛みは消失したが腫れは治らなかったため、意図的再植を行い腫れは消失した。治療後のレントゲンは意図的再植後3年経過したもの。 |
| 治療のリスク | マイクロスコープやCTを使用し、可能な限り精密な根管治療を行っていますが、歯根の形態や病変の大きさ、過去の治療履歴などにより、治癒が得られない場合があります。 また、治療後に再感染や歯根破折が生じることもあり、その場合は再治療や抜歯が必要となることがあります。 治療結果には個人差があり、すべての症例で同様の経過を保証するものではありません。 |
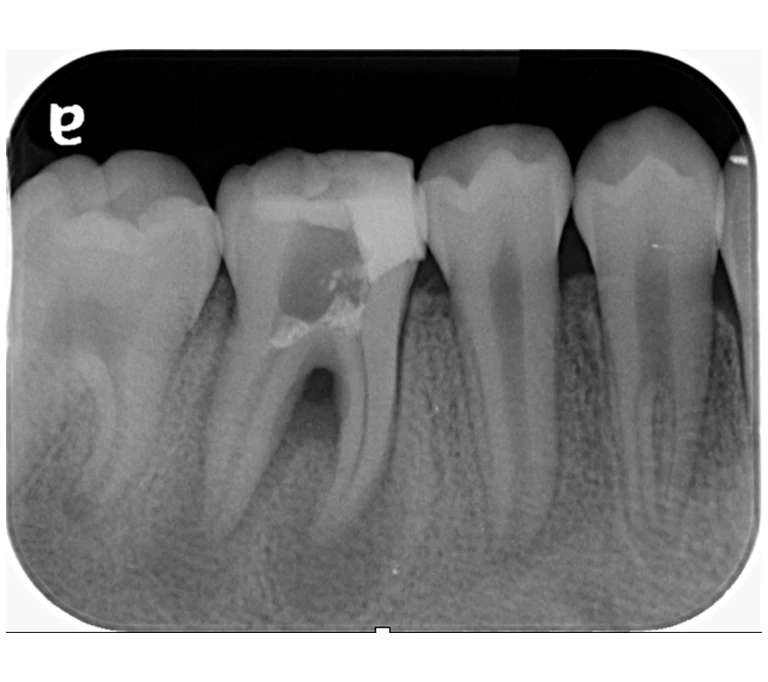
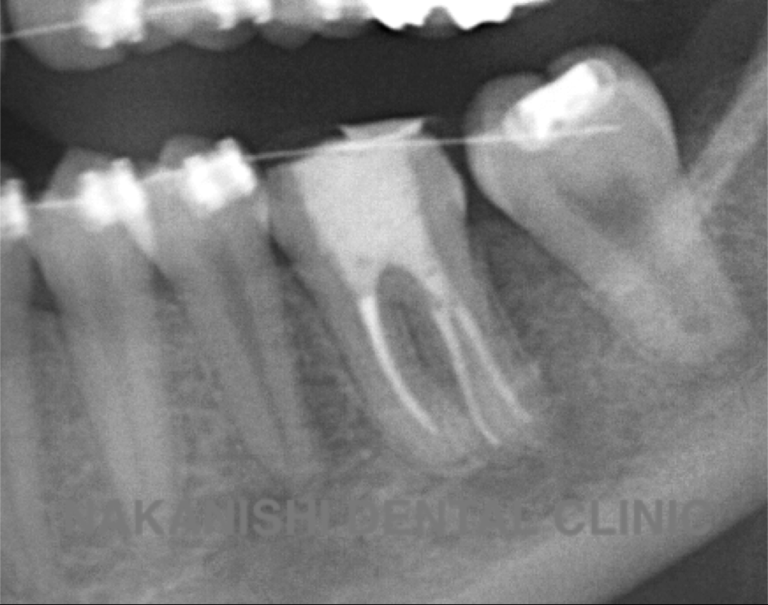
case 4.
治療前

治療後

| 主訴 | 右下奥歯が痛い。 他院で『膿の袋が大きいため抜歯』と言われセカンドオピニオン希望でご来院。 |
|---|---|
| 治療期間 | 約半年(6か月) |
| 治療費 | 約5万円 |
| 治療内容 | ラバーダム、マイクロスコープ下にて根管治療を実施し、歯根端切除を行う。歯茎の腫れは消失し違和感や痛みも消失した。 |
| 治療のリスク | マイクロスコープやCTを使用し、可能な限り精密な根管治療を行っていますが、歯根の形態や病変の大きさ、過去の治療履歴などにより、治癒が得られない場合があります。 また、治療後に再感染や歯根破折が生じることもあり、その場合は再治療や抜歯が必要となることがあります。 治療結果には個人差があり、すべての症例で同様の経過を保証するものではありません。 |
case 5.
治療前

治療後

| 主訴 | 他院で治療中だが歯ぐきの腫れが引かない。 |
|---|---|
| 治療期間 | 約2か月 |
| 治療費 | 約2万円 |
| 治療内容 | ラバーダム、マイクロスコープ下にて根管治療を施術。 腫れは消失し被せ物を製作し問題なく使えている。 |
| 治療のリスク | マイクロスコープやCTを使用し、可能な限り精密な根管治療を行っていますが、歯根の形態や病変の大きさ、過去の治療履歴などにより、治癒が得られない場合があります。 また、治療後に再感染や歯根破折が生じることもあり、その場合は再治療や抜歯が必要となることがあります。 治療結果には個人差があり、すべての症例で同様の経過を保証するものではありません。 |
case 6.
治療前

治療後

| 主訴 | 右下歯ぐき腫れ。 |
|---|---|
| 治療期間 | 約半年(6か月) |
| 治療費 | 約5万円 |
| 治療内容 | ラバーダム、マイクロスコープ下にて根管治療後、歯根端切除を行う。 歯茎の腫れは消失。被せ物を製作し定期検診でメインテナンス中。 |
| 治療のリスク | マイクロスコープやCTを使用し、可能な限り精密な根管治療を行っていますが、歯根の形態や病変の大きさ、過去の治療履歴などにより、治癒が得られない場合があります。 また、治療後に再感染や歯根破折が生じることもあり、その場合は再治療や抜歯が必要となることがあります。 治療結果には個人差があり、すべての症例で同様の経過を保証するものではありません。 |
case 7.
治療前

治療後

| 主訴 | 左下歯ぐきの腫れ。 |
|---|---|
| 治療期間 | 約半年(6か月) |
| 治療費 | 約5万円 |
| 治療内容 | ラバーダム、マイクロスコープ下にて根管治療後、意図的再植を行う。 歯茎の腫れが消失したため被せ物を製作し定期検診でメインテナンス中。 |
| 治療のリスク | マイクロスコープやCTを使用し、可能な限り精密な根管治療を行っていますが、歯根の形態や病変の大きさ、過去の治療履歴などにより、治癒が得られない場合があります。 また、治療後に再感染や歯根破折が生じることもあり、その場合は再治療や抜歯が必要となることがあります。 治療結果には個人差があり、すべての症例で同様の経過を保証するものではありません。 |